Het coronavirus SARS-CoV-2 infecteert de nieren en veroorzaakt littekenweefsel, tonen onderzoekers van het Radboudumc en RWTH Uniklinik Aachen in Duitsland aan. Door de infectie ontstaat littekenweefsel in de nier met een mogelijk nadelig effect op de lange termijn voor de nierfunctie van ex-COVID-patiënten.
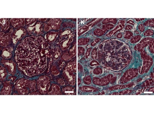
Dat het coronavirus flinke schade kan aanrichten in het lichaam en dat ook de nieren slachtoffer zijn van het virus, is al bekend. Maar wat er precies gebeurt in de nieren en hoeveel beschadiging er ontstaat, dat weten we nog niet precies. In deze studie, gepubliceerd in Cell Stem Cell, keken de onderzoekers naar het nierweefsel van overleden COVID-19-patiënten die op de Intensive Care waren opgenomen. Het weefsel bevatte veel littekenweefsel, meer dan bij patiënten met een non-COVID luchtweginfectie op de IC of bij een gezonde controlegroep. Littekenweefsel kan leiden tot verminderde nierfunctie, en in het ergste geval tot ernstig nierfalen.
Mininiertjes uit het lab
De vervolgvraag van de onderzoekers: wat veroorzaakt de nierschade? Komt dat door het virus zelf, of door een heftige ontstekingsreactie van het immuunsysteem? Voor meer inzicht kweekten de onderzoekers kleine mininiertjes in het lab, nierorganoïden. Deze gekweekte nierorganoïden zijn afkomstig uit stamcellen en bevatten veel verschillende typen niercellen, maar geen immuuncellen. De nierorganoïden infecteerden ze met SARS-CoV-2. In deze mininiertjes onderzochten de onderzoekers de directe effecten van het virus op de niercellen, dus onafhankelijk van eventuele effecten door het immuunsysteem, zoals een overreactie. Ook hier zagen de onderzoekers, net als bij het nierweefsel van de patiënten, meer littekenweefsel en signalen die leiden tot het ontstaan van littekenweefsel.
Dit littekenweefsel ontstaat door virusdeeltjes die bij een infectie de niercel binnen gaan. Zij gebruiken de cel als fabriek voor de productie van nieuwe virusdeeltjes, met de machinerie die in de cel aanwezig is. Dit geeft grote stress voor de cel, omdat de normale biochemische processen hierdoor verstoord raken. Ook ontstaat een ontstekingsreactie in het weefsel. Dat leidt tot de aanmaak van bindweefsel en collageen. Zo ontstaat het littekenweefsel in de nieren en in de nierorganoïden.
Verminderde nierfunctie door het coronavirus
De bevindingen van de Nederlandse en Duitse onderzoekers sluiten aan bij de resultaten van een groot Amerikaans onderzoek, waarin de onderzoekers zagen dat de nierfunctie vermindert door een infectie met het coronavirus (Bowe et al, JASN). Mensen die een coronabesmetting opliepen met milde klachten, hadden 15 procent meer risico op het ontwikkelen van ernstige nierproblemen dan mensen die niet door het virus waren getroffen. Als gevolg hiervan kunnen patiënten aan de dialyse raken.
Hoofdonderzoeker Jitske Jansen van het Radboudumc: “Met dit onderzoek zijn we diep ingegaan op de oorzaak van de nierschade die ontstaat door een COVID-infectie. De geïnfecteerde nierorganoïden laten zien dat de schade wordt aangericht door het virus zelf, en niet alleen door een overreactie van het immuunsysteem. Hiermee hebben we een nieuw stukje van de puzzel die aantoont welke directe schade het coronavirus in het lichaam kan aanrichten.”
Bron: Radboudumc
